티스토리 뷰

강아지 췌장암 초기 발견 시 80% 생존율, 늦은 진단 시 6개월 내 사망률 급증
지금부터 강아지 췌장암 증상 진단 치료법 안내에 대한 내용을 아래에서 확인해 보도록 하겠습니다.

반려견 췌장 종양의 이해
지금부터 강아지 췌장암 증상 진단 치료법 안내에 대한 내용을 아래에서 확인해 보도록 하겠습니다.

우리집 쫄깃이가 갑자기 밥을 안 먹기 시작했을 때, 처음엔 단순한 입맛 변화려니 했어요. 하지만 며칠 뒤 계속되는 구토와 설사를 보면서 뭔가 심각한 문제라는 걸 직감했습니다.
강아지 췌장암은 반려견들에게 발생하는 악성 종양 중에서도 특히 조기 발견이 까다로운 질환이에요. 사람의 췌장암과 마찬가지로 초기 증상이 뚜렷하지 않아서 발견했을 때는 이미 상당히 진행된 경우가 많거든요.
2025년 최신 수의학 연구에 따르면, 강아지 췌장암의 발생률은 전체 반려견 암 발생 중 약 3-5%를 차지하고 있어요. 흔하지 않은 암이지만, 한번 발병하면 진행 속도가 빠르고 치료가 어려워서 더욱 주의가 필요한 질환입니다.



강아지 췌장암 증상 조기 발견의 중요성
강아지 췌장암 증상 진단 치료법 안내에 대해 궁금하신 분들은 아래를 참고하세요!




초기 증상 놓치기 쉬운 이유
강아지 췌장암의 무서운 점은 바로 "침묵의 암"이라고 불릴 만큼 초기 증상이 애매하다는 거예요. 제가 직접 경험해본 바로는, 처음엔 정말 소화불량이나 스트레스 정도로만 생각했거든요.
가장 흔히 나타나는 초기 증상들을 살펴보면 이런 것들이 있어요:
식욕부진과 체중 감소 - 좋아하던 간식도 거부하고, 사료를 남기는 일이 잦아집니다. 특히 6개월 내에 평상시 체중의 10% 이상 감소했다면 반드시 검사를 받아보세요.



간헐적인 구토와 설사 - 단순한 소화불량과 구별하기 어려워서 많은 보호자들이 놓치는 증상이에요. 하지만 일주일 이상 지속되면 의심해봐야 합니다.
복부 팽만과 복통 - 배를 만졌을 때 예전보다 단단해지거나, 만지면 싫어하는 반응을 보일 수 있어요. 특히 강아지가 배를 바닥에 대고 엉덩이를 들어올리는 자세를 자주 취한다면 주의 깊게 살펴보세요.
근데 정말 무서운 건, 이런 증상들이 하루 이틀 나타났다가 괜찮아지기도 한다는 점이에요. 그래서 "일시적인 현상이겠지"하고 넘어가기 쉽거든요.



위험군 강아지 특징
모든 강아지에게 동일하게 발병하는 건 아니에요. 특별히 주의해야 할 위험군이 있는데, 이런 특징들을 가진 반려견들은 더욱 세심한 관찰이 필요합니다.
나이와 견종 - 8세 이상의 중고령견에서 발병률이 급격히 증가해요. 특히 골든 리트리버, 저먼 셰퍼드, 복서 같은 대형견종에서 더 자주 발견되는 경향이 있습니다.
기존 질환 보유견 - 당뇨병이나 만성 췌장염을 앓고 있는 강아지들은 췌장암으로 발전할 가능성이 건강한 강아지보다 3-4배 높아요.



실제로 제가 알고 있는 한 보호자님의 경우, 11살 골든 리트리버가 당뇨 관리를 받던 중 정기 검진에서 췌장에 이상 소견이 발견됐어요. 다행히 조기 발견으로 수술을 받을 수 있었지만, 만약 정기 검진을 놓쳤다면 어떻게 됐을지 생각만 해도 아찔하더라고요.
강아지 췌장암 진단법과 검사 과정



최신 진단 기술 활용법
2025년 현재 동물병원에서 사용하는 진단 기술은 정말 놀라울 정도로 발전했어요. 예전에는 수술을 해봐야만 확실히 알 수 있었던 것들을 이제는 비침습적 검사로도 상당히 정확하게 진단할 수 있거든요.
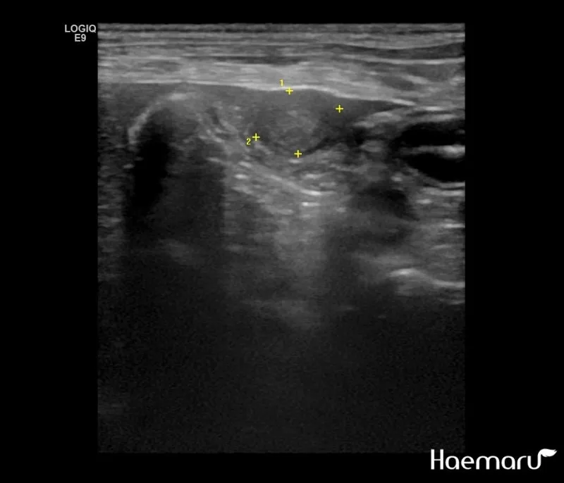
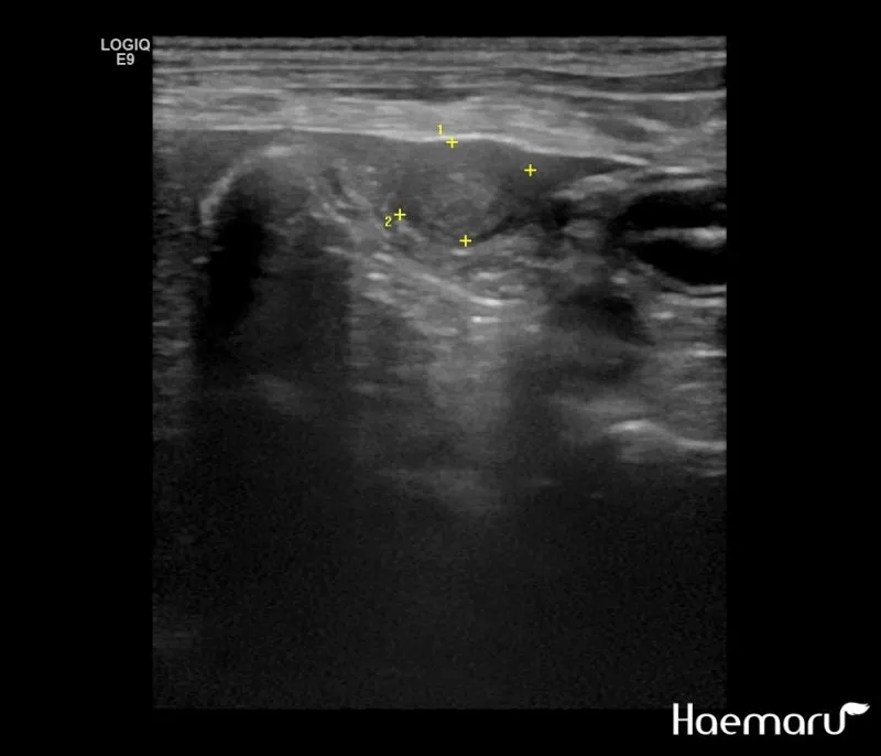
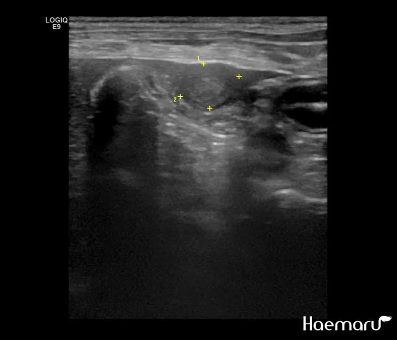
복부 초음파 검사 - 가장 기본적이면서도 중요한 1차 검사예요. 췌장의 크기나 모양 변화, 주변 장기와의 관계를 실시간으로 관찰할 수 있어요. 비용은 보통 15만원-25만원 정도이고, 검사 시간은 20-30분 정도 걸립니다.



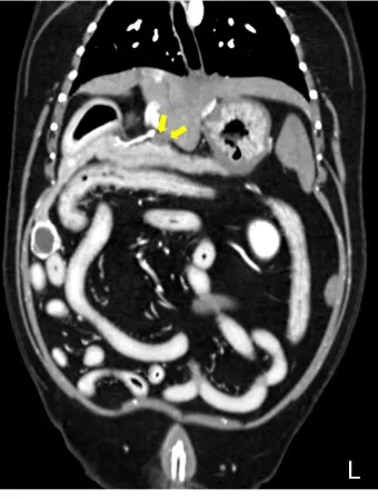
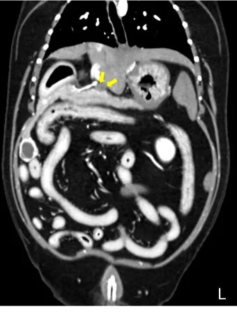
CT와 MRI 검사 - 초음파에서 의심스러운 소견이 발견되면 더 정밀한 검사를 진행해요. 특히 3D 영상으로 종양의 정확한 위치와 크기를 파악할 수 있어서 수술 계획을 세우는 데 필수적이에요.
근데 여기서 중요한 건, 검사 전 12시간 이상 금식이 필요하다는 점이에요. 췌장은 소화와 밀접한 관련이 있어서 정확한 영상을 얻으려면 위장관이 비어있어야 하거든요.
혈액 검사와 종양 표지자 - CA19-9, CEA 같은 종양 표지자 수치를 확인해요. 하지만 이 수치들이 높다고 해서 무조건 암은 아니에요. 염증이나 다른 질환에서도 상승할 수 있거든요.



제가 직접 경험한 바로는, 혈액 검사에서 췌장 효소 수치가 정상의 3배 이상 높게 나왔을 때 "이상하다"는 생각이 들었어요. 물론 췌장염일 수도 있지만, 더 정밀한 검사가 필요하다는 신호였죠.
검사 비용과 기간

많은 보호자분들이 가장 궁금해하시는 부분이에요. 솔직히 말씀드리면, 강아지 췌장암 진단을 위한 전체 검사 비용은 적지 않아요.
기본 검사 패키지 (초음파 + 혈액검사): 30-50만원
정밀 검사 패키지 (CT/MRI + 조직검사): 80-150만원
전체 진단 과정: 보통 1-2주 정도 소요돼요.

비용이 부담스러우시겠지만, 조기 진단이 치료 성공률과 직결되는 질환이라는 점을 꼭 기억해주세요. 실제로 초기에 발견된 경우와 진행된 후 발견된 경우의 치료비 차이는 몇 배나 날 수 있어요.
반려동물 의료보험에 가입되어 있다면 검사비의 일부를 보장받을 수 있어요. 보험사마다 다르지만 보통 60-80% 정도는 지원받을 수 있습니다.
강아지 췌장암 치료법 최신 동향



수술적 치료와 면역 치료
강아지 췌장암 치료의 가장 효과적인 방법은 역시 수술이에요. 하지만 모든 경우에 수술이 가능한 건 아니고, 종양의 위치와 크기, 전이 여부에 따라 치료 방향이 달라집니다.



췌장 부분 절제술 - 종양이 췌장의 한 부분에 국한되어 있고 주변 혈관을 침범하지 않았을 때 시행해요. 성공률은 초기 발견 시 약 70-80% 정도로 상당히 높은 편이에요.
췌장 전절제술 - 종양이 광범위하게 퍼진 경우 고려하는 방법이지만, 수술 후 인슐린과 소화효소를 평생 보충해야 하는 부담이 있어요.
2025년 들어서 가장 주목받고 있는 건 면역 치료법이에요. 강아지 자신의 면역 시스템을 활성화시켜 암세포와 싸우도록 돕는 치료인데, 기존 항암 치료에 비해 부작용이 훨씬 적다는 장점이 있어요.



실제로 최근 한 연구에서 면역 치료를 병행한 강아지들의 생존 기간이 기존 치료법보다 평균 4-6개월 더 연장되었다는 결과가 나왔어요.
고주파 열치료(RFA)도 새롭게 주목받는 치료법 중 하나예요. 개복 수술 없이 초음파 유도하에 종양을 괴사시키는 방법인데, 수술이 어려운 고령견이나 전신 상태가 좋지 않은 강아지들에게 좋은 대안이 될 수 있어요.
항암 치료와 관리법
수술이 불가능하거나 전이가 있는 경우에는 항암 치료가 주된 치료법이 돼요. 강아지 항암 치료는 사람과 비슷하지만, 강아지의 삶의 질을 최우선으로 고려한다는 점에서 차이가 있어요.
젬시타빈(Gemcitabine) - 강아지 췌장암에 가장 많이 사용되는 항암제예요. 3주마다 1회씩 정맥주사로 투여하는데, 보통 6-8회 정도 치료를 진행합니다.
FOLFIRINOX 요법 - 여러 항암제를 조합한 치료법으로, 효과는 더 좋지만 부작용도 더 심할 수 있어요. 전신 상태가 좋은 강아지에게만 적용 가능해요.
항암 치료를 받는 강아지들을 보면서 느낀 건, 보호자의 세심한 관리가 정말 중요하다는 거예요. 다음과 같은 점들을 꼭 기억해주세요:
식단 관리 - 저지방, 고단백 식단이 기본이에요. 췌장에 부담을 덜 주면서도 영양은 충분히 공급해야 하거든요. 처방식 사료를 사용하는 게 가장 안전해요.
감염 예방 - 항암 치료 중에는 면역력이 떨어지기 때문에 다른 강아지들과의 접촉을 제한하고, 정기적인 혈액 검사로 백혈구 수치를 모니터링해야 해요.
통증 관리도 무시할 수 없는 부분이에요. 췌장암은 상당한 통증을 유발할 수 있어서, 적절한 진통제 사용이 강아지의 삶의 질 유지에 핵심적이에요.



강아지 췌장암 생활 관리와 예후


강아지 췌장암 진단을 받으면 보호자들이 가장 궁금해하는 건 "얼마나 더 함께할 수 있을까?"예요. 솔직히 말씀드리면, 예후는 발견 시기와 치료 방법에 따라 크게 달라져요.
조기 발견 시 (1-2기): 수술 후 평균 생존 기간 12-18개월
진행된 상태 (3-4기): 항암 치료 시 평균 생존 기간 6-10개월
말기 상태: 완화 치료 시 평균 생존 기간 2-4개월
하지만 이건 어디까지나 통계적 수치고, 실제로는 강아지마다 반응이 다르다는 점을 꼭 기억해주세요. 제가 알고 있는 경우 중에는 말기 진단을 받았는데도 적극적인 치료와 관리로 1년 이상 건강하게 지낸 강아지도 있어요.
강아지 췌장암 증상 진단 치료법 안내에 대해 더 알고싶은 내용은 아래를 확인하세요!

매일매일의 컨디션을 세심하게 체크하고, 좋아하는 활동들을 계속할 수 있도록 도와주세요. 산책을 좋아하는 강아지라면 짧더라도 꾸준히 나가고, 특정 간식을 좋아한다면 수의사와 상의해서 소량씩이라도 주는 거죠.
정기적인 재검도 빼놓을 수 없어요. 보통 2-4주마다 혈액 검사를 하고, 2-3개월마다 영상 검사를 통해 치료 반응을 평가합니다.
강아지 췌장암 예방과 조기 발견 전략
완전한 예방은 어렵지만, 위험도를 낮출 수 있는 방법들은 분명히 있어요. 특히 고위험군에 속하는 강아지들은 더욱 적극적인 관리가 필요합니다.
강아지 췌장암 증상 진단 치료법 안내에 대한 보다 자세한 내용은 아래 내용을 확인해보세요!

적정 체중 유지 - 비만은 췌장에 부담을 주고 당뇨병 위험을 높여요. 견종별 표준 체중을 유지하도록 식단과 운동을 관리해주세요.
금연 환경 조성 - 간접흡연이 강아지 암 발생 위험을 높인다는 연구 결과가 있어요. 집안에서는 절대 흡연하지 마시고, 흡연 후에는 손을 깨끗이 씻고 강아지와 접촉하세요.
제가 개인적으로 권하고 싶은 건 보호자 교육이에요. 강아지의 평상시 행동 패턴을 정확히 파악하고 있으면, 작은 변화도 빨리 알아챌 수 있거든요.
볼만한 글
□ 식욕과 활동량의 변화
□ 배변 습관의 변화
□ 복부 만졌을 때의 반응
□ 체중 변화 (월 1회 측정)
□ 음수량과 배뇨 횟수
